DOSSIER DE PRESSE
STRATEGIE ESTHETIQUE // COMPRENDRE POUR SIMPLIFIER
Travail créatif d'une équipe pluridisciplinaire.
CHIRURGIES EN DIRECT. Hôpital américain de paris.
Samedi 29 septembre 2012
www.eidparis.com
- Stratégie esthétique : comprendre pour simplifier ~~ 5 CHIRURGIES EN DIRECT.
Samedi 29 Septembre 2012 - Oral Rehabilitation Center (ORC) de l'Hôpital Américain de Paris
- Sous l'égide de l'EID (Association Excellence in Dentistry)
- 5 CHIRURGIES EN DIRECT + 20 INTERVENANTS
- 3 ANESTHESISTES + 2 BLOCS DE CHIRURGIE
- Site Web: www.eidparis.com .
Objectif du lundi matin intelligence et simplicité, maîtrise et l'excellence
- Voir différentes manières de pratiquer la chirurgie ~~ Se mesurer avec des situations chaque fois
particulières.
- Notre souci à l’Hôpital Américain avec l’EID a toujours été de faire voir des techniques et faire passer des connaissances qui peuvent être utiles aux confrères dès le Lundi matin suivant la journée passée ensemble.
- Notre recherche de simplification dynamise notre créativité, dans une quête de facilitation de l’acte autant chirurgical que prothétique.
La connaissance est un processus, une création perpétuelle. Se faire guider dans la prise de décision et rechercher le consensus dans un abord global du traitement apporte une sur-valeur à notre pratique. Tout cela pour la satisfaction du patient et de la nôtre. - Vue d'ensemble
Objectif résolument esthétique nouveaux savoirs et expertises à acquérir
- CAS APPAREMMENT SIMILAIRES ~~ stratégies et protocoles différents
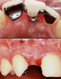
- On parlera d’extraction, d’implantation immédiate ainsi que d’implantation différée, d’augmentation latérale à l’aide de substituts osseux et de greffes conjonctives, mais aussi de prothèse sous la forme de temporisation.
- Plus d'infos
- 4e DIMENSION : le temps ~~ chronologie des étapes chirurgicales et prothétiques, leur déroulement dans le temps avec les temporisations adéquates.
- En travaillant sur différents blocs opératoires, et c’est l’une des raisons pour lesquelles l’Hôpital Américain est un lieu parfaitement adapté, nous pourrons aller directement aux moments forts des choix stratégiques, des actes chirurgicaux et de la mise en oeuvre prothétique
- Centre de conférences CV Starr
- Des chirurgiens de diverses villes de France ~~ offrir aux confrères de la journée HAP l'accès à une plus large variété de chirurgiens reconnus dans notre pays
- Avec l’information qui circule sur Internet, les patients sont de plus en plus au courant des progrès de l'esthétique en implantologie.
Ils sont de plus en plus regardants sur le résultat final qui leur est délivré.
L'omnipraticien ou le chirurgien qui pratique l'implantologie désire lui aussi élargir la gamme des traitements qu'il veut offrir à ses patients. De nouveaux besoins sont à satisfaire et donc de nouveaux savoirs et expertises sont à acquérir. - Chirurgies en direct : conférenciers et intervenants
Stratégie esthétique comprendre pour simplifier
- Apprendre à apprendre, apprendre à chercher, à trouver, à créer, à comprendre...
- La prothèse occupera une place essentielle dans le déroulement de la journée. Objectifs :
- - déterminer comment la faire, à quel moment du traitement
- - savoir choisir entre le bridge collé, la petite prothèse amovible, la prothèse amovible avec armature en stellite ou encore effectuer une mise en charge immédiate dans le but d’une temporisation efficace.
Quel traitement ?
Pourquoi cette solution est-elle possible ?
Quoi faire pour obtenir un résultat ?
Les discussions sur les choix stratégiques du protocole chirurgical et prothétique constitueront les moments phare de la journée.
Index des cas cliniques
Présentation des intervenants
Programme de la journée Samedi 29 sept. 2012
Introduction :
Organisateurs. Introduction, présentation des cas cliniques.
Mithridade Davarpanah & Stéphane de Corbière (PARIS)
Modérateurs : Mithridade Davarpanah, Franck Renouard.
Programme général
Conférence :
Décisions thérapeutiques assistées par ordinateur. Les 10 points clés.
Eric Blanchet (LYON).
Chirurgie 1 :
Expansion horizontale à l’aide d’un implant auto-forant. Choix de la temporisation.
Hadi Antoun, Marwan Daas (PARIS).
Programme général
Chirurgie 2 :
Augmentation osseuse et transformation locale du biotype.
Thierry Degorce (TOURS), Pascal Zyman (PARIS)
Programme général
Chirurgie 3 :
Extraction-Implantation-Temporisation immédiate : Apport du platform-shifting.
Claude Authelain (STRASBOURG), Boris Jakubowicz (PARIS)
platform-shifting
Chirurgie 4 :
Extraction - Implantation - Aménagement des tissus mous. Pourquoi sur-corriger ?
Jean-Pierre Gardella (MARSEILLE), Philippe Rajzbaum (PARIS)
Conférence : Augmentation tissulaire guidée par traction orthodontique.
Emeric Augeraud, Mike Lahmi, Eric Serfaty (PARIS)
Chirurgie 5 :
"Split-crest" et Piézotomie : Guider l’expansion osseuse avec un implant auto-forant - Choix de la temporisation.
Stéphane de Corbière, Keyvan Davarpanah, Georgy Demurashvili (PARIS)
Vidéos :
Vidéos des patients traités durant la journée HAP 2011 : Une année après.
Mihaela Caraman, Lotfi Ben Slama (PARIS), Serge Szmukler-Moncler (BÂLE)
Contact presse /
neadigital.com
Consulter nos autres dossiers de presse sur les innovations :
Greffe osseuse (2011)
Mise en charge immédiate (2010)
Traitements innovants (2010)
POSE D'IMPLANTS. Situations "non conventionnelles" (2010)
Mise à jour : septembre 2012
greffes osseuses
Objectif intelligence et simplicité :
Recherche de la simplification, facilitation de l'acte autant chirurgical que prothétique.
La connaissance est un processus, une création perpétuelle. Se faire guider dans la prise de décision et rechercher le consensus dans un abord global du traitement apporte une sur-valeur à notre pratique. Tout cela pour la satisfaction du patient et de la nôtre.
M. Davarpanah,
S. Szmukler
...............................
"Le métier, c’est l’ensemble des compétences et talents que l’on met en œuvre, c’est toute l’intelligence que l’on mobilise, c’est l’ensemble de ces savoir-faire que l’on crée, que l’on cultive et que l’on transmet avec dévotion. "
Marc Halévy
RUBRIQUES DU SITE
www.eidparis.com
Stratégie esthétique, comprendre pour simplifier
HOPITAL AMERICAIN DE PARIS.
Samedi 29 septembre 2012
1 - Programme de la journée
Oral Rehabilitation Center (ORC) de l'Hôpital Américain de Paris.
Sous l'égide de l’EID (Association Excellence in Dentistry
2 - Index des cas cliniques
Abord global du traitement
3 - Conférenciers
20 INTERVENANTS. Les meilleurs praticiens en odontologie
4 - Partenaires & Sponsors
Cultiver toutes les synergies
5 - S'inscrire à la Journée
Journée du Samedi 29 septembre 2012
6 - Plan American Hospital of Paris
Centre de Conférences CV STARR - 55 Bd du Château - 92200 NEUILLY-SUR-SEINE
ACTUALITES DU SITE
BLOG / ACTUS
NETWORK
EID PARIS / Version 1 du site
Centre de Réhabilitation Orale (ORC.)
Hôpital Américain
63 boulevard Victor Hugo
92202 Neuilly-Sur-Seine
Les Implants Dentaires
Clinique de Parodontologie et Implantologie
Dr. M. DAVARPANAH. 36, rue de Lübeck
75116 PARIS
Greffes osseuses
Greffes sinusiennes, les secrets de la simplicité
Simplification des procédures, nouveaux outils, nouveaux concepts
VOIR aussi...
INTELLIGENCE collective
Visual... Catalog
Exploration sémantique. Intelligence embarquée dans les outils. Dimension collective et collaborative . NootoolBox
Intelligences ... noetique
L'art de piloter en environnement complexe.
Le métier est le cœur qui bat au centre de l'entreprise. Intelligences de la tête et des mains
